Cyto Matrix: tecnologia avanzata per una diagnostica tiroidea completa
Strumento innovativo e avanzato nell’ambito della diagnostica tiroidea
Cyto Matrix rappresenta oggi uno degli strumenti più innovativi e avanzati nell’ambito della
diagnostica tiroidea e, più in generale, dei prelievi citologici ottenuti tramite agoaspirato. La sua tecnologia consente di conservare in maniera ottimale il materiale biologico prelevato, garantendo una valutazione più accurata e completa rispetto alle tecniche citologiche tradizionali.
Presso lo studio del Prof. Piero Maceroni, Cyto Matrix viene utilizzato per massimizzare il valore diagnostico dell’agoaspirato, offrendo al paziente un percorso di analisi più preciso, affidabile e informativo.
Che cos’è Cyto Matrix?
Cyto Matrix è una metodica che permette di conservare il materiale biologico ottenuto con agoaspirato inserendolo in una speciale matrice sintetica. Questa matrice ingloba completamente il materiale cellulare, consentendo di preservarne la struttura tridimensionale e rendendolo idoneo a tutte le principali tecniche diagnostiche, tra cui:
• Ematossilina-Eosina (EE)
• Immunoistochimica (IHC)
• FISH
• Biologia molecolare
L’obiettivo è garantire che tutto il materiale prelevato sia utilizzabile, evitando dispersione e consentendo al laboratorio di disporre di una quantità adeguata per ogni analisi necessaria. Si tratta quindi di un vero e proprio “tool” diagnostico essenziale, che in molti casi risulta insostituibile per ottenere una diagnosi completa.
Perché Cyto Matrix rappresenta un’evoluzione diagnostica?
L’utilizzo di Cyto Matrix consente all’operatore di gestire in modo razionale ed efficace materiali biologici preziosi e spesso limitati. Nel caso dell’agoaspirato tiroideo, tutto il campione prelevato viene inglobato nella matrice senza alcuna perdita.
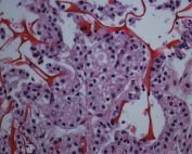
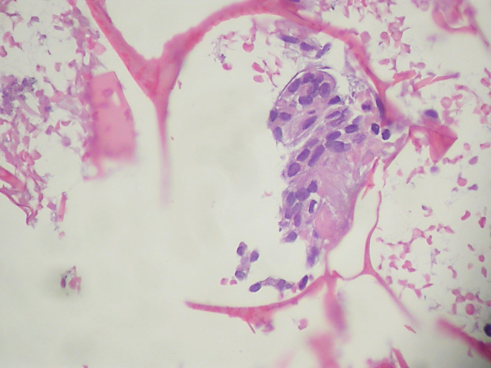
Diversamente dai vetrini tradizionali o dalle tecniche a strato sottile, Cyto Matrix permette di mantenere intatta la disposizione spaziale delle cellule e dei micro-aggregati, offrendo una visualizzazione tridimensionale impossibile con le metodiche citologiche convenzionali.
Ne deriva un enorme vantaggio diagnostico: pur utilizzando un comune ago sottile, quindi una procedura minimamente invasiva, è possibile ottenere un risultato simile a una valutazione microistologica. Questo consente di migliorare in modo significativo l’accuratezza diagnostica, riducendo il rischio di referti inconcludenti e permettendo una migliore caratterizzazione del nodulo tiroideo.
Come funziona la procedura con Cyto Matrix?
Il materiale prelevato tramite agoaspirato viene inserito direttamente nella matrice sintetica, che lo ingloba interamente. Successivamente:
- la matrice viene immersa in formalina al 10%
- viene eseguita l’inclusione in paraffina
- dal blocchetto in paraffina si ricavano sezioni sottili, come per i normali esami istologici
- le sezioni vengono colorate e analizzate con le metodiche diagnostiche richieste
Questa procedura non corrisponde alla classica tecnica del cell-block, poiché l’inclusione preventiva nella matrice mantiene intatti i dettagli citomorfologici e la disposizione originaria delle cellule.
Indagini diagnostiche eseguibili con Cyto Matrix
Una volta processato, il campione è idoneo a numerose analisi di approfondimento, tra cui:
• colorazioni di routine EE
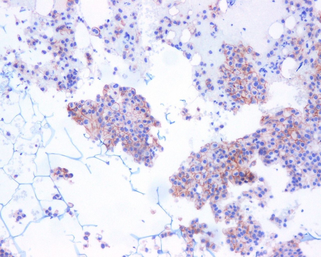
• pannelli immunoistochimici (Galectina-3, CD56, HBME-1, CK19)
• valutazioni molecolari, come la ricerca della mutazione BRAF
• analisi FISH per eventuali riarrangiamenti genetici
Questa ampia disponibilità diagnostica consente al patologo di approfondire la natura del nodulo tiroideo con un livello di dettaglio superiore rispetto alle metodiche citologiche classiche.
Vantaggi principali dell’impiego di Cyto Matrix
Cyto Matrix presenta vantaggi significativi:
• preserva l’intero materiale prelevato con agoaspirato
• mantiene intatta la struttura tridimensionale del tessuto
• consente analisi istologiche, immunoistochimiche e molecolari
• aumenta l’accuratezza diagnostica dei noduli tiroidei
• evita la necessità di ricorrere a procedure invasive come la biopsia core
In molti casi, Cyto Matrix permette di ottenere diagnosi più chiare e risolutive, migliorando il percorso diagnostico e riducendo tempi e disagi per il paziente.
Prenota ora una valutazione specialistica
Se necessiti di un approfondimento diagnostico della tiroide o desideri un esame con utilizzo di Cyto Matrix, affidati al Prof.. Piero Maceroni. Prenota ora una visita specialistica e accedi a una diagnostica avanzata, precisa e minimamente invasiva.






